Nha Khoa Thẩm Mỹ VSiTa Dental

Search
ĐẶT LỊCH KHÁM

Viêm nha chu là gì? Cách điều trị viêm nha chu hiệu quả!

Viêm nha chu là một trong những vấn đề sức khỏe rất phổ biến đối với độ tuổi trung niên, người già. Nếu không được chăm sóc đúng cách, viêm nha chu có thể tiến triển thành các vấn đề nha khoa nghiêm trọng hơn, gây hại đến răng và cấu trúc hỗ trợ xung quanh. Hãy cùng VSiTa Dental tìm hiểu viêm nha chu là gì? Và cách điều trị viêm nha chu hiệu quả nhé!

Bệnh viêm nha chu là bệnh gì?

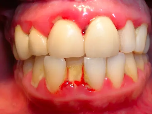
Viêm nha chu là tình trạng mà nướu xung quanh răng trở nên sưng, đỏ có thể gây ra chảy máu khi đánh răng, xương xung quanh răng cũng bị tiêu đi làm răng trở nên lung lay ở nhiều mức độ khác nhau. Trường hợp bị  viêm nha chu  nặng sẽ khiến mô nướu và xương bị tổn thương nghiêm trọng, răng sẽ trở nên lung lay thậm chí có thể mất răng nếu không điều trị kịp thời. 

Nguyên nhân gây ra viêm nha chu

Viêm nha chu hay còn gọi là viêm nướu do sự tích tụ của mảng bám, vi khuẩn trên răng và nướu tạo thành. Dưới đây là một số nguyên nhân phổ biến gây ra viêm nha chu:

  • Đánh răng và làm sạch giữa răng không đúng cách có thể dẫn đến sự tích tụ mảng bám, tạo điều kiện thuận lợi cho vi khuẩn phát triển.
  • Hút thuốc lá là một yếu tố rủi ro cho viêm nướu. Hóa chất trong thuốc lá có thể gây kích thích và làm tổn thương nướu.
  • Sự thay đổi hormone trong giai đoạn như thai kỳ, thai nghén, chu kỳ kinh nguyệt, và tiền mãn kinh có thể làm tăng nguy cơ viêm nướu.
  • Có người có khả năng di truyền cao về tình trạng viêm nướu, nếu trong gia đình có người mắc bệnh này.
  •  Người mắc tiểu đường thường có khả năng cao hơn về viêm nướu, do tình trạng lâu dài của tiểu đường có thể ảnh hưởng đến sức khỏe nướu.
  • Chế độ ăn giàu đường và các thực phẩm ngọt có thể tạo điều kiện lý tưởng cho vi khuẩn nảy sinh, gây viêm nướu.

Dấu hiệu bị viêm nha chu

Viêm nha chu có nhiều dấu hiệu khác nhau và thường tiến triển từ nhẹ đến nặng tùy thuộc vào mức độ của tình trạng. Dưới đây là một số dấu hiệu bị viêm nha chu:

  • Nướu trở nên sưng và có thể mềm khi chạm. Nướu bình thường có màu hồng nhạt. Trong trường hợp viêm nướu, chúng có thể trở nên đỏ, thậm chí có thể chuyển sang màu đỏ đậm.

  • Một trong những dấu hiệu rõ ràng nhất của viêm nướu là chảy máu nướu khi đánh răng hoặc sử dụng chỉ nha khoa.
  • Mảng bám răng và cao răng bám trên bề mặt răng, nhất là vùng cổ răng. 
  • Nướu có thể trở nên nhạy cảm, đặc biệt là khi tiếp xúc với thức ăn nóng, lạnh hoặc ngọt.
  • Trong các trường hợp nặng, nướu có thể bị tụt xuống , làm lộ thêm phần của chân răng và tạo điều kiện cho vi khuẩn phát triển gây mất nướu và xương.
  • Răng trở lên lung lay mức độ ngày càng tăng dần
  • Viêm nha chu thường đi kèm với mùi hôi không dễ chịu từ miệng.

Phương pháp điều trị bệnh nha chu 

Phương pháp điều trị viêm nha chu tùy thuộc vào mức độ nghiêm trọng của bệnh và tình trạng của bệnh nhân. Sau đây là một số phương pháp điều trị phổ biến bệnh viêm nha chu:

4.1 Điều trị khẩn cấp 

Đối với trường hợp viêm nha chu có chuyển biến nặng, xuất hiện khối áp xe (có dịch mủ) ở vùng nướu thì cần phải điều trị khẩn cấp. Thông thường, bệnh nhân sẽ có một số triệu chứng như niêm mạc sưng và chuyển thành màu đỏ, chảy máu nhiều khi đánh răng. Lúc này, bác sĩ nha khoa sẽ xử trí cấp, tháo mủ, làm sạch tại chỗ, chỉ định dùng thuốc kháng sinh, kháng viêm để làm giảm các triệu chứng và ức chế quá trình tiến triển của bệnh. Tuy nhiên, đây chỉ là phương pháp điều trị tạm thời, viêm nha chu có khả năng tiến triển thành bệnh mãn tính và tái phát theo chu kỳ bệnh. 

4.2 Điều trị không phẫu thuật

Sau đây là một số phương pháp điều trị không cần phẫu thuật phù hợp với bệnh nha chu nhẹ đến trung bình: 

  • Thuốc kháng sinh: Bác sĩ nha khoa sẽ kê thuốc kháng sinh để chống nhiễm trùng, hoặc đặt thuốc kháng sinh trực tiếp dưới nướu để bảo vệ vùng nướu khỏi bị nhiễm trùng. 
  • Vệ sinh răng miệng tại nha khoa: Nên đến các cơ sở nha khoa uy tín để lấy vôi răng và làm sạch chân răng. Bác sĩ sẽ loại bỏ vi khuẩn ẩn sâu bên dưới viền nướu và làm sạch bề mặt chân răng, ngăn chặn sự hình thành mảng bám và tích tụ của vi khuẩn. 

4.3 Điều trị phẫu thuật

Dưới đây là các phương pháp điều trị phẫu thuật điều trị viêm nha chu ở tình trạng trung bình đến nặng: 

Phương pháp phẫu thuật phổ biến là phẫu thuật làm sạch gốc nướu. Quá trình này bao gồm việc tạo một “lớp nắp” tạm thời từ nướu để tiếp cận vùng nướu bị viêm. Bác sĩ nha khoa sau đó sẽ làm sạch mảng bám và tái tạo mô nướu.

Một phương pháp khác là phẫu thuật đặt màng chống dính (Guided Tissue Regeneration). Quá trình này sử dụng màng sinh học đặt giữa xương và nướu để ngăn vi khuẩn xâm lấn và tạo điều kiện cho tế bào mô mới phát triển. Phương pháp này giúp khôi phục mô nướu và xương một cách hiệu quả.

Ngoài ra, phẫu thuật cấy ghép xương (Bone Grafting) cũng là một lựa chọn để tái tạo xương mà vi khuẩn đã làm mất. Quá trình này sử dụng xương tự nhiên hoặc vật liệu ghép để xây dựng lại cấu trúc xương và hỗ trợ cho việc giữ chặt răng.

Quá trình điều trị phẫu thuật đòi hỏi sự chuyên sâu của các chuyên gia nha khoa và được thực hiện dưới sự theo dõi kỹ lưỡng để đảm bảo kết quả tích cực và phục hồi sức khỏe của nướu và xương một cách toàn diện.

Phòng bệnh viêm nha chu như thế nào?

Chăm sóc răng đúng cách: Sử dụng bàn chải mềm và đánh răng ít nhất hai lần mỗi ngày trong ít nhất hai phút. Làm sạch giữa răng bằng cách sử dụng chỉ nha khoa mỗi ngày để loại bỏ mảng bám.

Thực hiện kiểm tra định kỳ tại nha khoa: Điều này giúp phát hiện sớm và điều trị các vấn đề nướu trước khi chúng trở nên nghiêm trọng.

Chế độ ăn lành mạnh: Hạn chế ăn thức ăn có đường và thức uống ngọt vì chúng tạo điều kiện thuận lợi cho sự phát triển của vi khuẩn. Bổ sung đầy đủ canxi và vitamin D để duy trì sức khỏe của răng và xương hàm.

Hạn chế hút thuốc lá: Thuốc lá có thể làm tăng nguy cơ viêm nướu, nên nếu bạn hút thuốc, hãy cố gắng ngừng lại.

Sử dụng nước súc miệng chứa Fluoride: Nước súc miệng có thể giúp kiểm soát vi khuẩn và cung cấp fluoride để bảo vệ răng. 

Tạm kết

Tóm lại, VSiTa Dental đã chia sẻ về các vấn đề liên quan đến các nguyên nhân, cách khắc phục và phương pháp điều trị phổ biến khi bị viêm nha chu. 

Bạn nên tuân thủ các biện pháp phòng ngừa này và thăm khám bác sĩ nha khoa định kỳ để duy trì sức khỏe nha khoa tốt và giảm nguy cơ bị viêm nha chu. Khi nhận thấy những dấu hiệu của bệnh, bạn nên đến các cơ sở nha khoa uy tín để thăm khám và có kế hoạch điều trị càng sớm càng tốt, tránh để các biến chứng nguy hiểm có thể xảy ra. 

Xem thêm: Những Lợi Ích Không Ngờ Từ Tẩy Trắng Răng Tại VSiTa

Cam kết của chúng tôi

  • Chúng tôi luôn lắng nghe và hiểu rõ mục tiêu cá nhân của Quý khách về nụ cười hoàn hảo. Chúng tôi sẽ thiết kế kế hoạch điều trị tối ưu và phù hợp với Quý khách.
  • Chúng tôi hiểu rằng mỗi khách hàng là một cá nhân duy nhất. Chúng tôi tôn trọng sự riêng tư và mong muốn được đồng hành cùng Quý khách trong suốt quá trình điều trị.
  • Mục tiêu của chúng tôi là mang đến cho Quý khách một nụ cười tự nhiên, một phong thái tự tin với hàm răng sáng đẹp. Chúng tôi không ngừng nỗ lực để đảm bảo rằng Quý khách sẽ hài lòng với kết quả cuối cùng.
  • Chúng tôi sẽ luôn ở bên Quý khách trong suốt quá trình chăm sóc trong quá trình điều trị, đảm bảo rằng Quý khách đạt được kết quả điều trị tốt nhất và có một nụ cười hoàn hảo trong thời gian dài.

Hẹn tư vấn ngay !

VSITA DENTAL – MỘT NỤ CƯỜI ĐẸP MỘT ĐỜI THÀNH CÔNG

Trung tâm nha khoa thẩm mỹ VSiTa Dental luôn lắng nghe và đồng hành cùng khách hàng để đảm bảo rằng mọi khách hàng đều có một nụ cười khỏe và đẹp. Chúng tôi tin rằng nụ cười khoẻ đẹp là nền tảng của một cuộc sống viên mãn và thành công. Hãy liên hệ với VSiTa Dental ngay hôm nay để bắt đầu hành trình chạm đến một nụ cười hoàn hảo và tự tin!

Hotline: 0902 826 930
WhatsApp: (+84)911488876
Địa chỉ: 19-21-23 Phạm Viết Chánh, Quận 1, TP HCM