Răng vẩu là một dạng sai lệch khớp cắn nghiêm trọng và cũng khá phổ biến. Ảnh hưởng tới chức năng ăn nhai và thẩm mỹ của cả gương mặt. Tuy nhiên, không phải ai cũng biết rõ răng vẩu là gì, nguyên nhân cũng như cách khắc phục hiệu quả tình trạng này. Hãy cùng Nha khoa VSiTa Dental tìm hiểu chi tiết trong bài viết dưới đây.
1. Răng vẩu là gì?
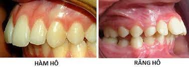
Răng vẩu là một khuyết điểm răng khá phổ biến. Một dạng sai lệch khớp cắn nghiêm trọng, sai lệch tương quan giữa hàm trên và hàm dưới. Cụ thể răng hàm trên nhô ra hơn nhiều so với hàm dưới. Tình trạng răng vẩu ở mỗi người là khác nhau. Và có thể được điều trị tương đối dễ dàng tùy thuộc nguyên nhân gây ra.

2. Nguyên nhân khiến răng vẩu
Răng vẩu là răng mọc bị chìa ra phía trước quá mức. Xương hàm hoặc cả răng và xương hàm đều nhô ra, vùng mặt hàm nhô ra trước. Gương mặt sau bị hô làm mất đi thẩm mỹ, vẻ đẹp cân đối của khuôn mặt.
Răng vẩu có thể đến từ những nguyên nhân phổ biến sau:
- Yếu tố di truyền: Một số người bẩm sinh đã có hàm không đều hoặc kích thước hàm trên và hàm dưới không khớp nhau. Khoa học đã chứng minh rằng, tình trạng răng ở cha mẹ, ông bà có thể di truyền cho con cháu. Tỷ lệ lên tới 70%. Mặc dù di truyền đóng một vai trò quan trọng trong sai khớp cắn, nhưng hầu hết nó không trở rõ ràng cho đến tuổi trưởng thành.
- Do thói quen xấu: Khi còn nhỏ, hàm răng vẫn trong độ phát triển thì những thói quen xấu như mút tay, đẩy lưỡi, mút núm giả quá nhiều… là tác nhân gây nên tình trạng răng bị vẩu.
- Khối u và u nang hàm: Mặc dù rất hiếm gặp nhưng u nang và khối u ác tính bên trong miệng có thể khiến răng di chuyển và dẫn đến răng vẩu.
- Bệnh nha chu: Một số bệnh nha chu cũng có thể khiến răng nhô ra do tiêu xương và mất ổn định. Các bệnh về nướu hoặc nha chu có thể di chuyển răng. Khiến chúng bị lệch ra xa nhau và bắt đầu nhô ra khỏi răng.
- Thiếu răng, răng thừa hoặc răng bị hư: Một nguyên nhân thường gặp khác gây ra tình trạng răng xô lệch hoặc răng chìa ra ngoài là khoảng cách hoặc sự chen chúc trong miệng. Mất răng cũng có thể khiến các răng còn lại dịch chuyển theo thời gian. Từ đó gây ra tình trạng hô móm. Cuối cùng, răng thừa có thể dẫn đến các vấn đề sai lệch.
3. Các loại răng vẩu thường gặp
Phân loại rõ các trường hợp răng vẩu thường gặp. Để từ đó xác định hướng điều trị cụ thể, phù hợp với tình trạng răng miệng của từng khách hàng. Cụ thể:
- Răng vẩu hàm trên: Cấu trúc xương hàm phát triển quá mức khiến hai hàm không khớp nhau, khuôn mặt không cân đối. Xương hàm trên nhô ra không chỉ ảnh hưởng thẩm mỹ mà còn ảnh hưởng đến khả năng phát âm cũng như ăn nhai.
- Răng vẩu hàm dưới: Cằm lệch, hàm mất cân đối. Hàm dưới nằm bên ngoài răng hàm trên. Khi ngậm kín miệng, cằm có xu hướng lệch sang trái hoặc phải. Tình trạng nặng sẽ ảnh hưởng đến phần răng và xương hàm. Làm cho khớp cắn lệch, ăn nhai khó khăn.
- Răng vẩu cằm lẹm: Răng vẩu cộng thêm cấu trúc xương cằm quá ngắn so với tỷ lệ gương mặt. Dáng cằm bị hụt vào trong cổ làm mất sự hài hòa ở khuôn mặt. Nhìn rõ tình trạng vẩu hàm trên, lẹm cằm hàm dưới.
- Răng vẩu môi dày: Mất cân đối răng hàm trên và răng hàm dưới, khớp cắn bị lệch dẫn đến tình trạng răng hô vẩu nhìn môi có vẻ dày lên. Răng hàm trên bị đưa ra ngoài quá mức so với hàm dưới, không khép kín được miệng. Hoặc môi nhọn, dày, răng chìa ra trước.
- Răng vẩu hở lợi: Là trường hợp răng ngắn, phần nướu răng bị lộ ra quá nhiều và không cân đối với chiều cao răng.
4. Điều trị răng vẩu như thế nào?
Các kỹ thuật Nha khoa ngày càng phát triển. Việc khắc phục răng vẩu cũng trở nên tương đối dễ dàng. Tùy vào tình trạng vẩu và khả năng tài chính của từng người mà bạn có thể cân nhắc các biện pháp khắc phục hiệu quả:
- Niềng răng: Đây chính là lựa chọn được ưu tiên trong trường hợp răng vẩu nhẹ, vẩu do răng mọc sai hướng. Phương pháp này sẽ tác dụng lực kéo răng về đúng vị trí mong muốn. Nắn chỉnh khớp cắn đều đẹp, hoàn mỹ. Có thể lựa chọn niềng răng mắc cài hoặc niềng răng trong suốt.

- Bọc răng sứ: Răng vẩu cộng thêm yếu tố thẩm mỹ kém như kích cỡ không đều, răng xỉn màu, ố vàng… thì bọc răng sứ là phương pháp thẩm mỹ phù hợp nhất. Kỹ thuật này sẽ mài đi một phần răng thật. Sau đó bọc một lớp mão sứ ra bên ngoài cùi răng. Phương pháp vượt trội so với niềng răng về yếu tố thời gian. Giúp bạn lấy lại được hàm răng vừa đều đẹp lại trắng sáng trong thời gian ngắn.
- Nắn chỉnh hoặc phẫu thuật hàm: Đây là giải pháp đối với trường hợp răng vẩu nặng. Tác động trực tiếp đến kết cấu của xương hàm, giúp nắn chỉnh lại hàm. Hiệu quả bền vững và lâu dài. Tuy nhiên, chi phí khá cao. Đòi hỏi bác sĩ chuyên môn giỏi, giàu kinh nghiệm để đảm bảo quá trình phẫu thuật hàm diễn ra an toàn, thẩm mỹ nhất.

Hy vọng bài viết trên đã giải đáp cho bạn những thắc mắc liên quan đến Răng vẩu là gì? Nếu hàm răng vẩu đang ngăn nụ cười rạng rỡ của bạn, hãy liên hệ với chúng tôi.
Nha khoa VSiTa Dental với đội ngũ y bác sĩ được đào tạo chuyên sâu, nhiều năm kinh nghiệm, hệ thống máy móc, trang thiết bị hiện đại chắc chắn sẽ giúp bạn có được nụ cười hoàn hảo.
Đọc thêm : Niềng Răng Trong độ tuổi Trưởng Thành – lợi ích và quyết định đúng đắn






